오늘은 목디스크워 원인으로 주목받는 일자목과 거북목에 대해서 알아보겠습니다. 요즘 컴퓨터와 스마트폰 사용빈도가 많아지면서 일자목과 거북목 증상을 가지는 분들이 많은데요. 이를 방치할 경우 목디스크를 유발할 위험이 높아진다고 하니 참고해 보시기 바랍니다.

일자목
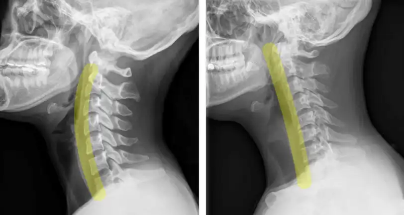
일자목이란 목 디스크가 손상되면서 경추 전만이 소실되어 목뼈들이 일직선이 된 상태를 말합니다.
정상적인 목을 엑스레이 사진으로 보면 앞으로 완만하게 휘어지는 정상적인 곡선을 가지게 됩니다. 목의 정상적인 곡선은 신생아가 고개를 가누기 시작할 때부터 생기며 이를 경추 전만이라고 부릅니다.
|
가장 자연스럽고 정상적인 정렬 상태인데요. 이런 자연스러운 경추 전만이 있어야 머리의 무게가 목뼈의 중심을 지나게 되면서 목 디스크에 걸리는 압력을 줄여주게 되는 것이죠.
목 디스크가 손상되어 일자목이 되면 목의 움직임은 30%가량 줄어들고 목 디스크에 걸리는 압력이 많게는 90%까지 증가합니다.
거북목
거북목은 허리와 등 위쪽, 그리고 목이 앞으로 구부러지면서 머리가 앞으로 내밀어진 상태를 말합니다.
거북목 또한 경추 전만이 없어져 일자목이 되고 앞으로 내민 머리를 치켜들기 위해 목덜미 쪽 근육에 과도한 힘이 들어가며 목 디스크에 걸리는 압박이 커지게 됩니다.
머리와 목이 정상 자세일 때는 목 디스크에 걸리는 무게가 5kg 정도인데 목을 앞으로 30도만 구부리면 목 디스크에 걸리는 무게가 무려 18kg가 넘게 됩니다. 이런 강한 압박을 오랜 시간 지속하게 되면 디스크를 찢고 찌그러뜨리게 되는데요.
이것은 목 디스크의 손상의 큰 원인이 됩니다.
목 디스크 손상시키는 나쁜 자세
일상생활 중 특히 거북목 자세로 컴퓨터와 스마트폰을 사용하게 되면 목 디스크가 손상되는 것은 시간문제라고 합니다. 목 디스크가 손상되면 목덜미와 어깻죽지가 뻐근하다가 더 심해질 경우 팔이 저리고 시리며 근육 속이 아픈 통증이 생기게 됩니다. 바로 방사통인데요.
|
방사통 증상으로 잠을 못 자거나 팔에 힘이 약해지는 느낌이 있다면 즉시 전문의의 진찰을 받아야 합니다.
목디스크를 손상시키는 나쁜 자세는 고개 숙이고 핸드폰 보기, 옆으로 누워 손으로 목받치기, 고개를 내밀고 컴퓨터 하기 등 이 있습니다.

또한 목 디스크 손상이 있는 사람이 목과 어깨 근육을 스트레칭하거나 근력 운동을 하는 것은 목 디스크를 더욱 손상시킬 수 있으므로 피하는 것이 좋습니다.

목 디스크에 좋은 자세
- 서있거나 걸을 때 허리를 꼿꼿이 유지하기
- 핸드폰을 볼 때는 높이 들기
- 모니터 높이를 높여 내려다보지 않고 시선과 일직선이 되도록 하기
- 운전 중 요추 경주 전만 유지, 어깨나 허리에 쿠션 두기
- 잠잘 때에는 머리를 약간 뒤로 젖혀 주고 목을 받쳐 주는 푹신한 베개를 사용하고 똑바로 누워 자기
허리를 자주 펴주고 양쪽 견갑골을 뒤로 모아 가슴을 펴고, 턱을 살짝 치켜드는 신전 동작을 하는 것이 좋습니다.

더욱 자세한 정보는 대한척추외과학회 웹페이지에서 확인해 보실 수 있습니다.
이상으로 일자목과 거북목에 대해 알아보았습니다. 목디스크에 원인이 되는 일자목과 거북목은 바른 자세를 유지하는 것이 치료의 기본이고 가장 중요하다고 합니다. 자세만 바르게 유지해도 절반의 치료 효과를 볼 수 있다고 하네요. 여러분들도 오늘부터 바른 자세를 유지하여 목건강을 지키시길 바랍니다. 그럼 이것으로 포스팅을 마치겠습니다.
'건강' 카테고리의 다른 글
| 마그밀정 효능·효과 및 주의사항 (0) | 2024.01.17 |
|---|---|
| 소론도정 효능·효과 및 주의사항 (1) | 2024.01.16 |
| 당뇨병전단계 관리 방법 알아보기 (0) | 2024.01.12 |
| 갑상선 기능저하증 증상 치료법 알아보기 (1) | 2024.01.11 |



